튼튼한 건물은 단단한 지반에서 시작되듯,
건강한 치아의 핵심은 건강한 잇몸에 있습니다.
흔들림 없는 일상을 위한 따뜻치과의 약속,
보이지 않는 잇몸 속 기초부터 정성으로 채우겠습니다.


"집의 기둥이 아무리 튼튼해도, 그 기둥을 받치고 있는 '땅'이 무너지면 집 전체가 흔들리게 됩니다."
치아에게 잇몸은 바로 그 '땅'과 같습니다.
치아 자체에 충치가 없어도 잇몸이라는 땅이 염증으로 녹아내리면
멀쩡한 치아를 잃게 될 수도 있습니다.
잇몸치료는 단순히 치석을 제거하는 것을 넘어,
내 치아를 지탱해주는 소중한 기반을
다시 단단하게 다지는 과정입니다.
아니요,
잇몸에서 피가 나는 것은
우리 몸이 보내는 '가장 간절한 구조 신호'입니다.
피곤해서 잠시 붓는 것이라 여기며
휴식만 취하시는 분들이 많습니다.
하지만 잇몸의 출혈은
치아를 지탱하는 뼈(잇몸뼈)가 녹고 있다는
위험 신호일 가능성이 매우 높습니다.
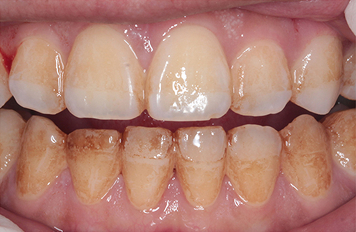
염증의 경고 : 양치할 때 나는 피는 잇몸 속에 세균과 독소가 가득 차 있다는 뜻입니다. 방치는 골상실의 시작 : 통증이 없다고 방치하면, 어느 날 갑자기 멀쩡해 보이던 치아가 흔들리기 시작합니다.
잇몸이 분홍색이고
출혈 없음
잇몸에만 염증
붓거나 시림
치석이 뿌리 쪽으로 진행
→ 치조골 손실
치조골 손실 악화
→ 치아 탈락
"조금 피나다 말겠지"라는 생각으로 넘기지 마세요.
그 신호를 포착했을 때 바로 관리하는 것만이
소중한 내 치아를 발치 없이 지켜낼 수 있는 가장 빠르고 유일한 방법입니다.
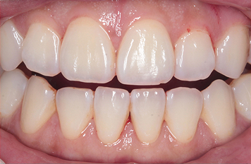
잇몸 치료는 복잡한 수술이 아닙니다.
상태에 따라 '대청소'를 하는 과정이라
생각하시면 쉽습니다.
[1단계] 스케일링
치아 표면의 딱딱한 치석을 제거하는
가장 기본적이고 중요한 예방 치료입니다.
[2단계] 치근활택술
잇몸 라인 살짝 안쪽, 치아 뿌리에 붙기 시작한 세균과 거친 표면을 매끄럽게 정리합니다.
[3단계] 치주소파술
잇몸 깊숙이 숨은 염증 조직을 직접 제거합니다.
잇몸이 자주 붓고 피날 때 꼭 필요한 단계입니다.
" 따뜻치과는 무리한 진료를 권하지 않습니다.
정밀 검사를 통해 지금 당신의 잇몸에
꼭 필요한 단계만 차근차근 진행합니다. "
"원장님, 스케일링 기구 소리만 들어도 무섭고 이가 시려요."
치료가 필요한 건 알지만, 금속 기구의 진동과 차가운 물 통증 때문에 망설여지시죠?
따뜻치과에서는 긁어내는 통증 대신,
물과 미세 파우더로 부드럽게 씻어내는 '에어플로우'로 편안한 스케일링을 약속합니다.
① 긁지 않고 '씻어내는' 부드러움
금속 기구로 치아를 긁거나 충격을 주지 않습니다.
아주 고운 파우더 입자를 물과 함께 분사해,
마치 미세한 입자로 세차하듯 치태와 착색을 자극 없이 깨끗하게 제거합니다.
② 시린 증상을 줄여주는 '미온수 시스템'
스케일링할 때 유독 시렸던 이유는 바로 차가운 물 때문입니다.
에어플로우는 따뜻한 물을 사용하여 온도 차로 인한 찌릿함을 최소화하고,
잇몸이 예민한 분들도 편안하게 관리받으실 수 있습니다.
③ 보철물과 임플란트까지 '안전하게'
금속 기구가 닿으면 상처 나기 쉬운 임플란트나 크라운도 걱정 마세요.
에어플로우는 보철물 표면에 미세한 흠집을 남기지 않으면서도,
구석구석 숨은 세균막만 정교하게 찾아내어 관리해 드립니다.
"원장님, 잇몸치료 너무 아프고 시리다던데...
꼭 해야 하나요?"
치료 과정에서 느낄 불편함 때문에 내원을 망설이는 마음, 충분히 이해합니다.
따뜻치과에서는 환자분의 두려움을 줄여드리기 위해 세 가지를 약속해요.
① '단계별 마취 시스템'으로 통증을 최소화합니다
주삿바늘의 따끔함조차 걱정되시죠?
가글 마취액이나 연고 마취를 먼저 진행하고
무통마취기를 사용하여 치료의 시작부터 끝까지
편안함을 유지해 드립니다.
② 세밀하고 부드러운 '딥 클리닝'을 합니다
무조건 강하게 긁어내는 것이 정답은 아닙니다.
잇몸 상태에 맞춰 초음파 스케일러와 미세 기구를 사용해,
치아 뿌리에 붙은 나쁜 세균만 정교하게 제거합니다.
③ 치료 후 '시린 증상'까지 케어합니다
치료 직후 잠시 시린 증상이 나타날 수 있습니다.
이는 염증이 빠지고 치아 뿌리가 드러나며 생기는 자연스러운 과정입니다.
네, 전형적인 이갈이의 전조증상입니다. 잠을 자는 동안 무의식적으로 치아를 강하게 깨물거나 갈면 치아 표면의 법랑질이 마모되어 '치아 지각과민(시림 증상)'이 나타납니다. 또한, 밤새 턱 근육이 과하게 긴장 상태를 유지하기 때문에 아침에 일어났을 때 턱관절 주변의 뻐근함이나 묵직한 통증을 느끼게 됩니다.
스트레스는 가장 큰 심리적 요인이지만, 유일한 원인은 아닙니다.
1. 심리적 요인: 극심한 스트레스와 불안감은 수면 중 근육 긴장도를 높입니다.
2. 구조적 요인: 치아의 맞물림(교합)이 불안정할 때 우리 몸은 이를 해소하기 위해 본능적으로 이를 갑니다.
3. 수면 장애: 코골이나 수면무호흡증이 있을 때 기도를 확보하려는 과정에서 이갈이가 동반되기도 합니다.
4. 약물 및 기호품: 과도한 카페인 섭취, 음주, 특정 항우울제 복용이 이갈이를 악화시킬 수 있습니다.
아닙니다. 오히려 치단 아래 깊숙이 숨어있는 '치석'이 원인일 확률이 높습니다. 스케일링은 잇몸 위쪽의 치석만 제거하는 기초 단계입니다. 만약 잇몸 안쪽 뿌리 깊은 곳까지 세균 덩어리(치석)가 박혀 있다면, 스케일링만으로는 염증이 완전히 사라지지 않습니다. 이 경우 잇몸 안쪽을 청소하는 '치근활택술'이나 '치주소파술' 같은 심화 잇몸 치료가 반드시 병행되어야 합니다.
부작용이 아니라 부어있던 잇몸이 가라앉으며 나타나는 '정상적인 회복 과정'입니다. 치석이 잇몸을 밀어내고 그 자리를 차지하고 있다가, 치료를 통해 치석이 제거되고 염증 붓기가 빠지면서 숨어있던 공간이 드러나는 것입니다. 시린 증상 역시 치아 뿌리를 덮고 있던 치석이 사라지며 일시적으로 예민해지는 현상이며, 시간이 지나면 점차 적응되거나 잇몸이 탄탄해지며 완화됩니다.
약만으로는 원인 제거가 불가능합니다. 잇몸약은 비타민이나 소염제 성분으로 겉으로 보이는 증상을 잠시 완화해 줄 뿐, 잇몸 뼈를 녹이는 근본 원인인 '치석'을 물리적으로 제거하지 못합니다. 치석은 돌처럼 딱딱하게 굳어 있어 반드시 치과 기구로 제거해야 합니다. 치료 없이 약만 복용하면 오히려 치료 시기를 놓쳐 치아를 뽑아야 하는 상황에 이를 수 있으니 주의가 필요합니다.
네, 잇몸 치료는 대부분 건강보험이 적용되는 급여 항목입니다. 스케일링(연 1회)은 물론, 치근활택술, 치주소파술, 잇몸 수술 등 대부분의 치료를 적은 본인부담금으로 받으실 수 있습니다. 비용 부담 때문에 치료를 미루기보다는, 보험 혜택을 활용해 조기에 관리하는 것이 훨씬 경제적입니다.